随着生活水平的提高,牙齿美容修复已成为一种时尚潮流,越来越多的人渴望拥有一口洁白靓丽的牙齿,因此他们陆续加入到牙齿美容修复的大军,希望改变牙齿缺损、牙稀疏、牙釉质发育不全,以及各种色素牙等牙齿问题。麦特登口腔专家提醒:只有专业的技术才能将不健康、不美观的牙齿变得美丽净白。

为什么要做牙齿修复?因为牙齿对生活的影响太大了
影响口腔健康
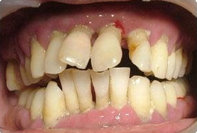
牙列不齐、牙齿缺失容易引发各种口腔疾病,比如牙周膜水肿、牙龈萎缩、牙槽骨吸收等,如果牙缝间隙大,食物会规堆积在牙缝里,引发龋齿和牙周病。
影响身体健康
牙齿缺失会影响到咀嚼功能,时间一长就会导致肠胃功能紊乱,影响营养成分的啃椅族,甚至出现各种消化疾病。
影响心理健康
谁也不愿意自己一张嘴就是一口色素牙,对面部美观造成巨大的影响,致使患者不敢笑,长期生活在自卑的情绪中。牙齿缺失还会加速衰老,增加面部皱纹,对心理的影响巨大。

牙齿不单单只是影响美观和健康,还会直接决定到你的生活质量,
所以牙齿问题要及时修复。
那么,你需要进行牙齿修复?请从以下几个方面自诊

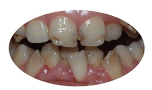
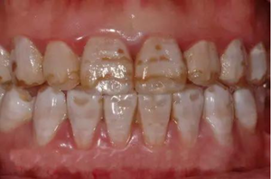
烤瓷牙失败 牙齿缺损

牙稀疏 牙釉质发育不全

各类色素牙(氟斑牙、四环素牙、黄牙黑牙等)

牙列不齐
如果你的牙齿有以上问题,请立即进行修复!
牙齿修复就选麦特登,即刻修复不伤原牙,赋予牙齿新生
牙齿是我们最重要的器官之一,担负着咀嚼、吞咽和美观的重要功能,因而在进行修复时不能只考虑美学特性,还要考虑其功能性。一直以来,麦特登口腔不断深化牙齿美学修复技术的研究,将功能、美学、即刻融为一体,推出全新的数学化即刻修复术,提倡数学化美学设计,充分考虑美学笑线,利用高科显微成像原理使修复手术更精细,做到数字化、可视化、即刻化,将对牙体的损伤降到最低。

牙齿美学笑线设计
麦特登口腔专家表示:牙齿修复的难点在于牙体组织的保留。麦特登口腔在进行牙齿修复时,尽可能保留更多的牙体组织,采用独特技术减少牙本质的暴露,最大化保留牙髓的活力,配合顶级修复材料,因而安全性更高,抗折性更强。在材料的选择上,麦特登口腔拥有先进的比色技术,与原牙颜色高度相同,一次性完成全瓷修复体、全瓷贴面、仿生全冠的制作,因而获得更持久的美学效果…【了解技术】
特色技术一:超薄全瓷贴面
麦特登超薄全瓷贴面是时下最流行的美牙方式,采用全新高科生物科技材料,牙齿3D数码辅助设计,根据牙齿情况量身打造专用超薄瓷片,不需要磨牙,只需要将超薄贴面通过专利技术覆盖到牙齿表面,就能起到改善牙齿形态和色泽的作用。

这种超薄瓷片是麦特登口腔专门定制打造的,高科材料坚固耐用,超薄至0.2mm,因而拥有媲美真牙的功能和效果,修复后的牙齿洁白亮丽,且维持简单,快速无痛安装,轻轻松松就改变牙齿形态…【了解技术】


特色技术二:3D仿生美牙冠
与传统冠类修复技术相比,麦特登3D仿生美牙冠具有美牙不拔牙、快速修复、超坚固性、媲美真牙等优势,是进行牙齿修复的最佳选择之一。那么麦特登3D仿生美牙冠是如何做到的呢?
对于牙齿修复,麦特登考虑到牙齿的功能性和美观性,因而融入了仿生设计和数字化设计,仿生设计强调牙齿的天然结构和完整性,模拟真牙的密度、结构、压强、再生功能,寻求高度统一的修复技术。数字化设计保持牙齿的美学笑线,重塑口腔环境,打造出媲美真牙的仿生牙冠,兼具美观性和咬合功能,佩戴后完全看不出来,就和真牙一样…【了解技术】


牙齿缺损时间越长,对颌面的影响就越大
引起牙周组织的病变
严重影响到人的身体健康,所以越早修复越好
专家提醒:牙齿修复要到专业的口腔医院,找有资历的医生进行。
麦特登口腔立足增城,一城四院,国际品质
将是你的最优选择!





2021-03-24 11:11
来源:麦特登口腔
























