自古以来,“明眸皓齿”是美丽的重要评判标准,拥有一口健康洁白的牙齿能让人更自信从容的微笑。然而,由于现代人的生活习惯,抗生素、糖果、色素性饮料、烟酒等原因,导致牙齿不复当初,四环素牙、氟斑牙、黄黑牙、咖啡牙等牙齿问题越来越多,让形象和气质大打折扣,甚至会影响到正常的社交和生活。那么如何才能摆脱牙齿黄黑的问题,拥有健康洁白的牙齿呢?
想要美白牙齿,首先要明白你的牙齿为什么不够白?
牙冠的结构一般有三层,依次是牙体釉质、牙本质和牙髓。
牙釉质是透明或半透明的,钙化程度越高,釉质越透明,钙化程度低,透明度就低。
牙本质呈淡黄色。
所以,正常健康的牙齿都是“天生微黄”的。随着年龄的增长,牙釉质变薄,牙齿会越来越黄。

为了美白牙齿,很多人盲目地努力过!
你这样做过:食醋、柠檬片、橘子汁,真能分分钟美白牙齿?
真相是:酸性食物只能融解表面上的牙垢,凹凸不平的表面更容易堆积色素,而且时间一久牙齿就会出现酸麻的现象。


你又这样做过:用酵母粉、花生碎涂抹,就能美白牙齿?
真相是:通过摩擦产生美白牙齿的作用,不仅耗时长,效果十分有限,使用时间越长,对牙齿本身的伤害非常大。


也许,你还这样做过:盐和牙膏混合刷牙、美白牙膏、美白液,真的能实现牙齿美白?
真相是:通过化学漂白剂的作用,腐蚀牙釉质达到祛除牙垢的目的,然而容易刺激到牙龈,引发蛀牙和牙周炎等口腔疾病。


事实上以上几种方法对牙齿的伤害非常大,严重影响到牙齿的健康。
在此,麦特登口腔全科专家提醒广大患者:美白牙齿不仅要考虑效果,最重要的是牙齿的健康。所以要慎重选择美白牙齿的方法。

如今美白牙齿,大家都选麦特登科学美白技术!
为了让更多患者拥有健康洁白的牙齿,麦特登口腔改变传统美白牙齿的方式,推出全新皓齿美白术,引进欧美发达国家广泛使用的牙齿美白系统,提供更专业、更科学、更进步的牙齿美白服务。
麦特登皓齿美白技术是根据牙齿的发育、变色情况,依靠特别制作的冷光线,以及得到认证的专业活化美白乳胶,成功促进和分解各种顽固性牙色素,一次治疗提高6-17个VITA色阶,使牙齿恢复正常的洁白色阶。
目前,麦特登皓齿美白术在欧美已经有上百万人体验,在国内一经推出就受到广大患者喜爱。因为麦特登皓齿美白技术,能有效针对不同的色素牙问题,依靠不同的冷光照范围和强度实现牙齿美白。专业技术保护牙齿和粘膜,治疗过程舒适愉悦,还您健康自信的白。
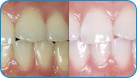
不一样的牙齿美白技术,最好的效果呈现



专业美牙更护牙,麦特登美白牙齿独具四大优势
麦特登皓齿美白所采用的冷光线是专业配制的专用光线,不会对牙齿组织、牙龈以及牙粘膜造成任何伤害,而且治疗过程中产生极少的热量,无痛感及任何不适,即时提高6-17个VITA色阶。
优势一:持久的美白效果
专业配备的美白乳胶成分,能有效减轻美白可过程出现的过敏反应,增强牙色素的分解,再建珐琅质,有效提高牙齿色阶,起到持久美白的效果。
优势二:独有冷光线技术
采用独特的冷光线技术,是特殊设计的灯具射出的柔和光线,能量极低,可使特制的美白乳胶的效果增进26%以上,牙齿美白效果更佳。
优势三:专业保护牙健康
使用浓度为15%的低浓度过氧化氢,其PH值与牙珐琅质的PH值相似接近中性,同时产生极少的热量,有效保护牙齿、牙黏膜以及牙龈组织。
优势四:舒适的治疗过程
经过特殊处理的冷光线低温照射,产生的温度极低,因而不需要使用麻醉剂,大大降低对牙神经造成的刺激,整个过程舒适,几乎不会有任何不适感。
很多人以为牙齿美白很复杂
其实不然
所花时间和平时做面膜、美甲、美发的时间一样,甚至更短
一个午休即可让牙齿焕然一新
这便是麦特登皓齿美白得天独厚的优势,还在等什么,赶快预约咨询吧!





2021-03-24 10:52
来源:麦特登口腔
























